Learning is always a valuable opportunity, and in the field of MiCD,
it is the only way to keep progressing professionally
MiCD Adhesive Bridge Using Non Metallic Trinia base and Ceramage Indirect Composite Resin
Dr Sushil Koirala, Nepal
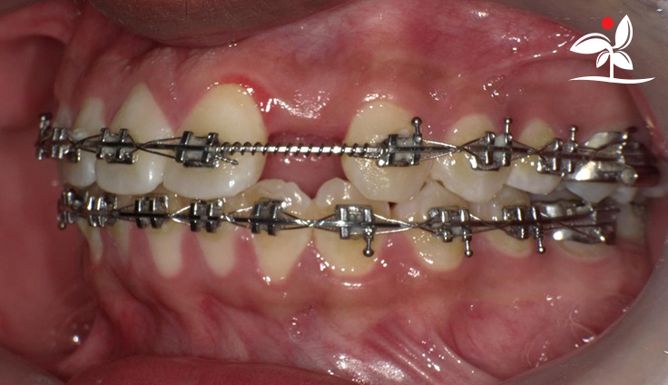
A 22 year old young patient was referred to MiCD department of National Dental Hospital to replace the missing tooth
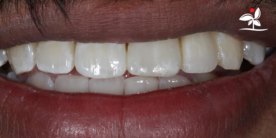
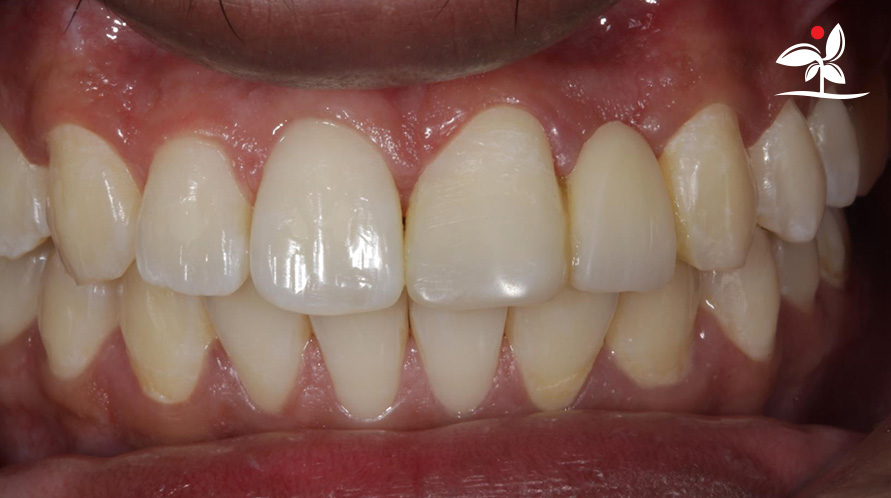
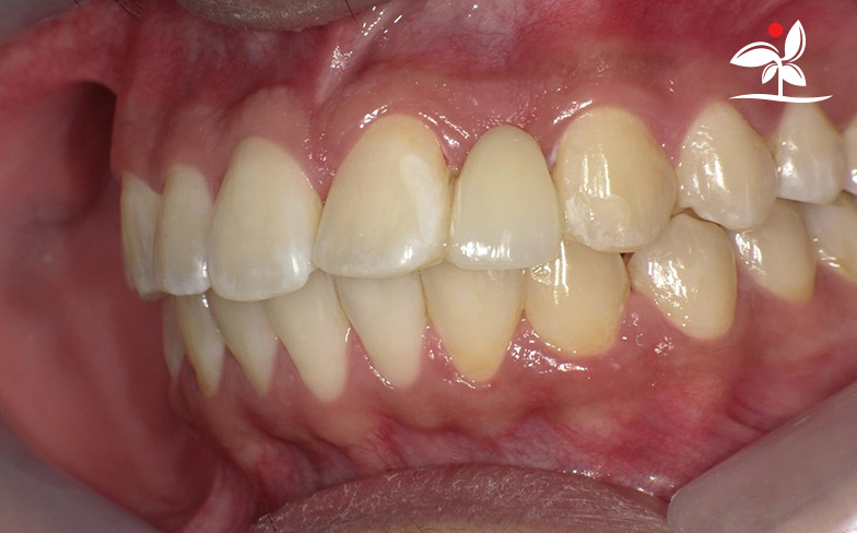
# 22 using minimally invasive approach. The missing space of tooth # 22 was created after 2 years of orthodontic treatment. During clinical examination patient was explained about all posible treatment options and their biological, finincial and time cost. The patient did not want to go for dental implant and invasive conventional bridge which requires aggressive teeth preparation. Hence, “MiCD Adhesive Bridge” which does not require adjacent teeth preparation was proposed. The missing tooth 22 was restored using Trinia a fiberglass bonded resin hybrid material ( 40 % resin and 60 % fiberglass ) from Bicon, USA as base material and Ceramage indirect composite from Shofu Inc, Japan was chosen for veneering material. Minor shape and length modification of tooth # 21 was accomplished to harmonize smile line. After completion of treatment the patient was fully satisfied with Naturomimetic characteristics of MiCD Adhesive Bridge which has extremely low biological cost and the price of the treatment was suitable for the patent.





















