Learning is always a valuable opportunity, and in the field of MiCD,
it is the only way to keep progressing professionally
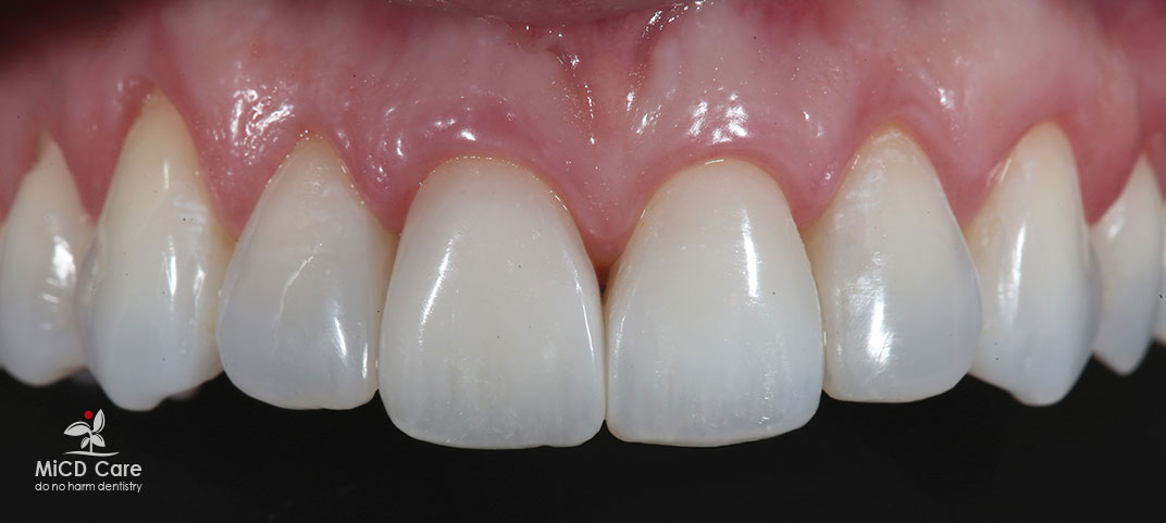
Restoration of Fractured Anterior Teeth with Direct Composites
Jose Roberto S. Moura Jr., Brazil
A female patient, 38 years old, came to our Institute after a severe trauma in both upper centrals that were restored by a colleague in an emergency situation, but she was not pleased with the esthetic outcome. After vitality tests and X rays we could notice that both teeth were still vital. Tooth #11 had a very large composite restoration, plus a large caries under a restoration on the distal/palatal surface, while tooth #21 had none.





















